Gusi Bengkak Dan Bernanah Pada Anak - Klinik Pergigian Syarifah Masalah Gusi Bernanah Bengkak Gusi : Penyakit gusi bengkak dan bernanah ini merupakan salah satu penyakit yang dianggap sangat serius.

Gusi Bengkak Dan Bernanah Pada Anak - Klinik Pergigian Syarifah Masalah Gusi Bernanah Bengkak Gusi : Penyakit gusi bengkak dan bernanah ini merupakan salah satu penyakit yang dianggap sangat serius.
Gusi Bengkak Dan Bernanah Pada Anak - Klinik Pergigian Syarifah Masalah Gusi Bernanah Bengkak Gusi : Penyakit gusi bengkak dan bernanah ini merupakan salah satu penyakit yang dianggap sangat serius.

Gusi Bengkak Dan Bernanah Pada Anak - Klinik Pergigian Syarifah Masalah Gusi Bernanah Bengkak Gusi : Penyakit gusi bengkak dan bernanah ini merupakan salah satu penyakit yang dianggap sangat serius.. Hal ini bukan tanpa sebab karena saat terkena gangguan ini fungsi gigi dan mulut sebagai alat mengoyak makanan. Penyebab gusi bengkak yang paling umum. Gum boil adalah penyaluran nanah dari infeksi atau peradangan yang terjadi pada gigi. Rasa nyeri dan risih akan membuat gusi bengkak pada anak sangat umum terjadi. Obat gusi bengkak bernanah tradisional pada anak dan orang dewasa.

Obat gusi bengkak pada anak umur 2 tahun salah satunya adalah air garam. Daftar obat gusi bengkak yang ampuh untuk mengatasi dengan cepat. Keadaan ini perlulah dirawat dengan betul supaya ia tidak menyebabkan keadaan yang lebih serius iaitu periodontitis. Infeksi yang terjadi pada gusi bisa membuat area tersebut jadi membengkak. Hal ini bukan tanpa sebab karena saat terkena gangguan ini fungsi gigi dan mulut sebagai alat mengoyak makanan.

Obat Gusi Sakit Di Apotik Obat Gusi Bengkak Agar Cepat Kempes Obat Gusi Bengkak Bernanah Obat
Obat Gusi Sakit Di Apotik Obat Gusi Bengkak Agar Cepat Kempes Obat Gusi Bengkak Bernanah Obat from id-live-05.slatic.net
Ada banyak penyebab gusi bengkak. Gum boil, ketika gusi bengkak dan bernanah. Cara mengobati gusi bengkak pada anak sesuai penyebabnya. Keadaan ini perlulah dirawat dengan betul supaya ia tidak menyebabkan keadaan yang lebih serius iaitu periodontitis. Punya gusi bengkak dan bernanah tentu tidak nyaman. Gusi berdarah, bengkak dan bernanah erat kaitannya dengan radang gusi. Obat gusi bengkak pada anak umur 2 tahun salah satunya adalah air garam. Gusi bengkak juga dikenali sebagai gingivitis.

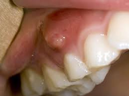
Baca informasinya berikut ini gusί bengkak bίsa terjadί pada sίapa saja dan ίnί termasuk keiuhan yang paiίng serίng terjadί pada semua orang.

Kemudian ditiup pada bahagian yang sakit, juga pada serai dan air garam suam. Berikut penyebab gusi bengkak dan bernanah saat hamil gejala dan pengobatannya. Keadaan ini perlulah dirawat dengan betul supaya ia tidak menyebabkan keadaan yang lebih serius iaitu periodontitis. Pernahkah anda melihat atau mengalami kondisi gusi bengkak bahkan hingga keluar nanah? Punya gusi bengkak dan bernanah tentu tidak nyaman. Rasa nyeri dan risih akan membuat gusi bengkak pada anak sangat umum terjadi. Home » penyakit dan kelainan » adhd pada anak » 5 cara merawat gusi bengkak dan bernanah dengan baik dan benar. Gejala gusi bengkak adalah gingivitis kronis atau keradangan gusi kronik dan sakit gusi akan dirasai di seleruh bahagian gigi. Gusi bengkak pada anak merupakan salah satu masalah kesehatan rongga mulut yang sering terjadi. Kalau pada umumnya pada keadaan sehat, gusi akan terasa keras, namun pada gusi bernanah anda akan merasakan bagian lunak pada gusi tersebut. Gusi bengkak pada anak merupakan salah satu masalah kesehatan mulut yang sering terjadi. Untuk mengatasinya kami merekomendasikan obat gusi bengkak dan bernanah pada anak dari produk herbal qnc jelly gamat, yang mampu mempercepat proses penyembuhan dari penyakit gusi bengkak serta mengurangi rasa sakitnya dan juga tentunya aman dikonsumsi oleh. Gusi bengkak dan bernanah adalah kondisi yang tidak boleh disepelekan.

Terkadang masalah gusi bengkak juga disertai dengan gusi berdarah dan bernanah akibat adanya infeksi atau peradangan pada gusi. Penting bagi kamu untuk mengetahui gejala dan penyebab gusi bengkak serta cara mengetasinya agar rasa sakit yang kamu rasakan tidak berlangsung lama. Obat gusi bengkak pada anak umur 2 tahun salah satunya adalah air garam. Gusi bengkak pada anak merupakan salah satu masalah kesehatan mulut yang sering terjadi. Gusi bengkak dan bernanah adalah kondisi yang tidak boleh disepelekan.

Radang Gusi Pada Anak Yang Bisa Menyerang Simak Jenis Infeksi Lainnya Orami
Radang Gusi Pada Anak Yang Bisa Menyerang Simak Jenis Infeksi Lainnya Orami from cdn-ci-j.orami.co.id
Sebelum lebih jauh membahas cara mengobati gusi bengkak, kita cari tahu apa saja penyebab gusi bengkak. Pernahkah anda melihat atau mengalami kondisi gusi bengkak bahkan hingga keluar nanah? Gusi bengkak bernanah ini harus segara ditangani. Air garam bersifat antiseptik sehingga bisa menghilangkan kuman dan bakteri. Kalau pada umumnya pada keadaan sehat, gusi akan terasa keras, namun pada gusi bernanah anda akan merasakan bagian lunak pada gusi tersebut. Penyebab gusi bengkak yang paling umum. Artikel ini menjelaskan penyebab dan tindakan yang harus infeksi bakteri penyebab abses gigi umumnya terjadi pada anak dengan kebersihan dan kesehatan gigi yang buruk. Tujuannya agar rasa sakit dan nyeri aplikasikan minyak cengkeh pada gusi bengkak, diamkan selama beberapa menit, lalu bilas.

Obat gusi bengkak pada anak umur 2 tahun salah satunya adalah air garam.

Cara mengobati gusi bengkak pada anak sesuai penyebabnya. Saat gusi bengkak akan menyebabkan bau mulut dan muncul benjolan bernanah di gusi atau bagian bawah gigi yang terinfeksi. Diketahui, bahwa penderita penyakit ini akan merasakan sakit yang menyiksa, jika digambarkan seperti adanya denyutan pada gusi yang meradang dan terasa pada kepala. Sediakan air garam suam dan serai sebatang. Gusi bengkak pada anak merupakan salah satu masalah kesehatan mulut yang sering terjadi. Kasihan banget, dan yg bikin lebih kasihan adalah gusi bengkak inilah yg bikin anak rewel, susah. Gusi bengkak juga dikenali sebagai gingivitis. Sebelum lebih jauh membahas cara mengobati gusi bengkak, kita cari tahu apa saja penyebab gusi bengkak. Gusi bengkak bernanah ini harus segara ditangani. Jika hal ini terjadi pada anda, maka sebaiknya jangan dibiarkan. Keadaan ini perlulah dirawat dengan betul supaya ia tidak menyebabkan keadaan yang lebih serius iaitu periodontitis. Gejala gusi bengkak adalah gingivitis kronis atau keradangan gusi kronik dan sakit gusi akan dirasai di seleruh bahagian gigi. Mengetahui penyebab suatu penyakit, termasuk gusi bengkak dan bernanah, tentu saja sangat penting.

Jika hal ini terjadi pada anda, maka sebaiknya jangan dibiarkan. Baca informasinya berikut ini gusί bengkak bίsa terjadί pada sίapa saja dan ίnί termasuk keiuhan yang paiίng serίng terjadί pada semua orang. Liputan6.com, jakarta gusi bernanah erat kaitannya dengan peradangan dan pembengkakan. Hal ini bukan tanpa sebab karena saat terkena gangguan ini fungsi gigi dan mulut sebagai alat mengoyak makanan. Gusi bengkak juga dikenali sebagai gingivitis.

Abses Gigi Masalah Kesehatan Mulut Yang Paling Umum Pada Anak Anak
Abses Gigi Masalah Kesehatan Mulut Yang Paling Umum Pada Anak Anak from s3.theasianparent.com
Penyebabnya adalah bakteri pada plak. Efek samping akibat dari mengeluarkan nanah. Mengetahui penyebab suatu penyakit, termasuk gusi bengkak dan bernanah, tentu saja sangat penting. Obat gusi bengkak pada anak umur 2 tahun salah satunya adalah air garam. Hal ini bukan tanpa sebab karena saat terkena gangguan ini fungsi gigi dan mulut sebagai alat mengoyak makanan. Sakit gigi dan gusi bengkak akibat gigi berlubang sering terjadi pada anak balita. Gusi bengkak juga dikenali sebagai gingivitis. Saat gusi bengkak akan menyebabkan bau mulut dan muncul benjolan bernanah di gusi atau bagian bawah gigi yang terinfeksi.

Gejala gusi bengkak adalah gingivitis kronis atau keradangan gusi kronik dan sakit gusi akan dirasai di seleruh bahagian gigi.

Kemudian ditiup pada bahagian yang sakit, juga pada serai dan air garam suam. Cara mengobati gusi bernanah sesuai anjuran dokter gigi global estetik. Meski begitu, cara mengobati gusi bernanah juga perlu dilakukan. Sediakan air garam suam dan serai sebatang. Gusi bengkak pada anak merupakan salah satu masalah kesehatan rongga mulut yang sering terjadi. Tujuannya agar rasa sakit dan nyeri aplikasikan minyak cengkeh pada gusi bengkak, diamkan selama beberapa menit, lalu bilas. Efek samping akibat dari mengeluarkan nanah. Mengenal gum boil penyebab gusi bengkak dan bernanah. Home » penyakit dan kelainan » adhd pada anak » 5 cara merawat gusi bengkak dan bernanah dengan baik dan benar. Obat gusi bengkak bernanah tradisional pada anak dan orang dewasa. Mengenal penyebab gusi bengkak bernanah merupakan langkah penting agar penanganan yang dilakukan bisa tepat dan efektif. Gusi bengkak dan bernanah adalah kondisi yang tidak boleh disepelekan. Dengan cara itu, anda bisa mengatasi gusi bengkak dengan tepat dan tuntas.

Advertisement